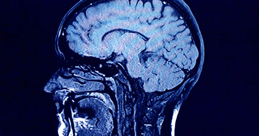
Study finds growing levels of microplastics in human brains

What's Your Reaction?







Join our subscribers list to get the latest news, updates and special offers directly in your inbox
admin Feb 19, 2025 0 2
dailynews Feb 18, 2025 0 1
admin Feb 18, 2025 0 0
admin Feb 18, 2025 0 0
admin Feb 18, 2025 0 1
admin Feb 18, 2025 0 0
admin Feb 18, 2025 0 0
Total Vote: 1
Yes
Total Vote: 1
Red
This website uses cookies to enhance your browsing experience. By continuing to use this site, you consent to the use of cookies. Please review our Privacy Policy for more information on how we handle your data.